农业生产系统较低的养分利用效率以及严重的养分流失是制约我国农业可持续发展的重要瓶颈。研究表明,70%的陆生植物可以与土壤中的丛枝菌根真菌建立互利共生体,并利用其菌丝网络获取土壤中的养分。植物形成丛枝菌根后可以平均降低土壤32%的硝态氮损失以及21%的总磷损失。同时,植物形成丛枝菌根后可以诱导植物系统性抗性从而增强植物对病原菌抗性。但是,土壤中存在大量磷酸盐会抑制植物与土壤中的丛枝菌根真菌形成互利共生体,并进一步限制丛枝菌根真菌在降低养分流失等其它方面发挥重要作用。
面对在磷充足农业生产系统如何让作物根系形成更多丛枝菌根,从而提高作物养分利用效率以及增强宿主作物抵抗胁迫能力这一重要科学难题,开云网页版未来技术学院吴双教授团队与南京农业大学徐国华、陈爱群教授团队合作,以番茄为研究对象,深入研究高磷抑制番茄丛枝菌根形成的分子机制研究,并于近期将研究结果发表在国际知名植物学期刊The Plant Cell上。

论文截图
徐国华、陈爱群教授团队之前的研究发现P1BS元件是茄科作物菌根特异诱导磷酸盐转运蛋白基因表达的核心调控元件(Chen et al., 2011)。而SPX能够在高磷条件下增强与PHR转录因子互作,阻碍其结合下游P1BS元件,并抑制下游基因的激活。因此SPX-PHR模块有可能在高磷抑制丛枝菌根形成中也扮演重要作用。最近在水稻和苜蓿中,SPX-PHR模块在丛枝菌根中的功能也得到进一步证实。水稻spx1/2/3/5四突能够形成更多丛枝菌根,而苜蓿spx1、spx3、spx1/3突变体则会抑制丛枝菌根形成 (Shi et al., 2021;Wang et al., 2021)。以上结果表明SPX家族基因在不同植物中发生了一定程度的功能分化。
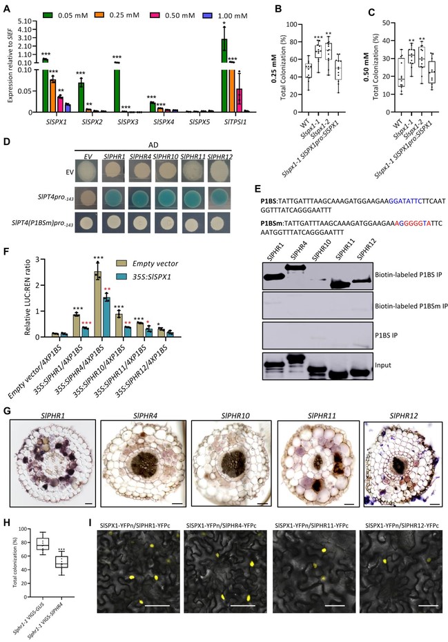
为明确哪些发生功能分化的SPX基因在磷信号调控番茄丛枝菌根形成中扮演重要作用,研究人员首先在不同磷浓度(低磷:0.05 mM; 中磷:0.25 mM; 磷充足:0.50 mM; 高磷:1.00 mM)以及接菌情况下检测SPX基因的表达水平。发现高表达的SlSPX1可能在磷信号调控丛枝菌根形成中扮演重要作用(图1A)。为进一步证实该推测,研究人员进一步利用基因编辑技术在番茄中构建稳定遗传的敲除突变体Slspx1,并利用该突变体在不同磷浓度条件下接种丛枝菌根真菌。结果显示,Slspx1突变体能够在中磷(0.25 mM)以及磷充足(0.50 mM)条件下形成更多的丛枝菌根(图1B和C)。
进一步,作者发现SlSPX1可以结合并抑制下游PHR家族基因。先前研究表明,PHR基因家族存在多个成员能够结合P1BS元件,并在调控丛枝菌根形成中功能冗余 (Shi et al., 2021; Das et al., 2022)。利用酵母单杂技术、生物素标记探针方法,luc激活检测,作者发现SlPHR1/4/10/11/12具有结合P1BS,并激活下游转录的能力(图1D-F)。通过时空表达分析,以及基因沉默,基因敲除等遗传学实验,作者证实这些PHR基因参与丛枝菌根形成,并存在功能冗余(图1G和H)。而SlSPX1则能够与SlPHR1/4/10/11/12互作并抑制它们的转录激活能力(图1F和I)。

图1 SlSPX1-SlPHRs模块调控番茄丛枝菌根形成的分子机制
该研究通过提供系统详实的证据,证实番茄中高表达的SPX基因SlSPX1,能够通过结合多个SlPHRs,并抑制他们的转录激活功能,从而在中磷和磷充足条件下抑制番茄丛枝菌根的形成(图2),本结果也为培育磷充足条件下形成更多丛枝菌根新的番茄品种提供了理论依据。

图2 SlSPX1-SlPHRs模块调控番茄丛枝菌根形成示意图
开云网页版青年教师廖德华以及在读研究生孙超为共同第一作者,吴双教授、徐国华教授、陈爱群教授为共同通讯作者。该研究得到国家十三五重点研发项目子课题、福建省自然科学基金以及开云网页版园艺学高峰学科的资金支持。
文章链接: https://academic.oup.com/plcell/advance-article/doi/10.1093/plcell/koac212/6648108?searchresult=1#
